3D rendgen snimanje zuba i vilice, Snimanje zuba Karaburma, Ulica Patrisa Lumumbe 80, Beograd 11000; 

Dečiji ortopantomogram

kompletan pregled zuba i vilica vaše dece

Šta je dečiji ortopantomogram?

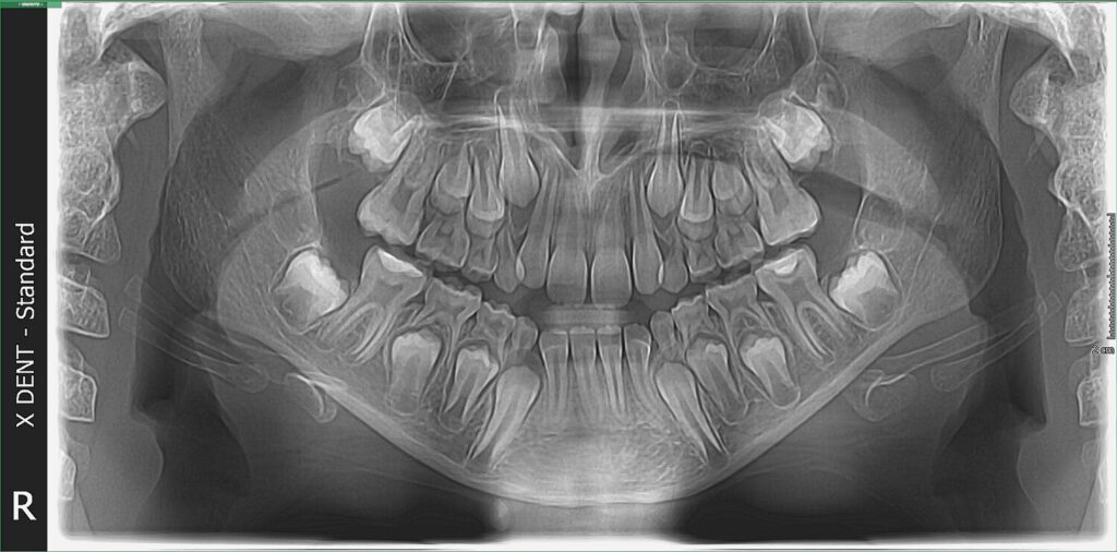
Dečiji ortopantomogram, poznat i kao panoramski snimak zuba, predstavlja digitalni rendgenski snimak cele vilice, uključujući gornju i donju vilicu, sve zube, zubne zametke, kao i okolne koštane strukture. Ovaj snimak pruža širok i detaljan prikaz stanja u ustima deteta – čak i zuba koji još nisu iznikli.

Kako funkcioniše ortopantomogram?

Ortopantomogram se pravi pomoću specijalnog rendgen aparata koji rotira oko glave pacijenta. Aparat beleži slike iz više uglova i sastavlja ih u jednu panoramsku sliku. Kod dece, proces je potpuno bezbolan, brz i bezbedan, uz minimalnu dozu zračenja zahvaljujući savremenoj digitalnoj tehnologiji.

Deciji ortopan

Kada i zašto je potreban dečiji ortopantomogram?

Snimanje se preporučuje u različitim fazama razvoja deteta:

  • – Provera broja i položaja stalnih zuba
  • – Otkrivanje zuba koji kasne s nicanjem
  • – Praćenje razvoja vilica
  • – Rana dijagnostika ortodontskih nepravilnosti
  • – Detekcija skrivenih karijesa, cisti ili drugih promena
  • – Planiranje ortodontske terapije ili vađenja zuba

Koraci

1.

Priprema – dete skida sve metalne predmete iz predela glave i vrata (minđuše, lančići).

2.

Postavljanje – dete se postavlja u odgovarajući položaj, a glava se fiksira radi stabilnosti.

3.

Snimanje – aparat se lagano okreće oko glave, snimanje traje svega 10–15 sekundi.

4.

Analiza snimka – snimak se odmah digitalno prikazuje i koristi za dijagnozu i planiranje terapije.

Prednosti dečijeg ortopantomograma

  • – Bezbolna i brza procedura
  • – Minimalna doza zračenja zahvaljujući digitalnoj tehnologiji
  • – Sveobuhvatan uvid u stanje zuba i vilica
  • – Otkrivanje problema pre nego što postanu ozbiljni
  • – Neophodan za kvalitetno ortodontsko planiranje
  • – Mogućnost digitalne arhive i daljeg praćenja razvoja

Za koga je namenjeno?

Dečiji ortopantomogram se preporučuje za svu decu u uzrastu od 6 do 15 godina, posebno:

  • – Kada počinju da niču stalni zubi
  • – Pre početka ortodontske terapije (nošenje proteza)
  • – Ako postoje problemi u zagrižaju ili govoru
  • – Kod bolova u vilici ili sumnji na skrivene probleme
  • – Kada zubi ne niču redovnim redosledom ili tempom

 

Redovno snimanje omogućava prevenciju i ranu intervenciju, čime se izbegavaju komplikacije i obezbeđuje pravilan razvoj vilica i zuba.

Zakažite svoj termin!

Brinite o oralnom zdravlju svog deteta na vreme! Naš stručni tim koristi modernu opremu i pristup prilagođen deci kako bi se snimanje obavilo brzo, precizno i bez stresa.