3D rendgen snimanje zuba i vilice, Snimanje zuba Karaburma, Ulica Patrisa Lumumbe 80, Beograd 11000; 

Telerendgen

Šta je telerendgen?

Telerendgen (tele RTG) je specijalna vrsta rendgenskog snimanja glave i vilice koja omogućava detaljnu analizu odnosa između vilica, zuba i lobanje. Ovaj snimak se često koristi u ortodonciji i oralnoj hirurgiji, jer pruža ključne informacije o strukturi i položaju kostiju lica, što je neophodno za planiranje terapija kao što su fiksne proteze, hirurške korekcije i implantati.

Kako funkcioniše telerendgen?

Telerendgensko snimanje koristi minimalne doze rendgenskog zračenja kako bi proizvelo jasne slike bočnog (latero-lateralnog) ili prednjeg (postero-anteriornog) pogleda na lobanju i vilice. Digitalni telerendgen omogućava brzu obradu i analizu snimka, što znači da stomatolog ili ortodont može odmah pristupiti podacima i kreirati precizan plan terapije.

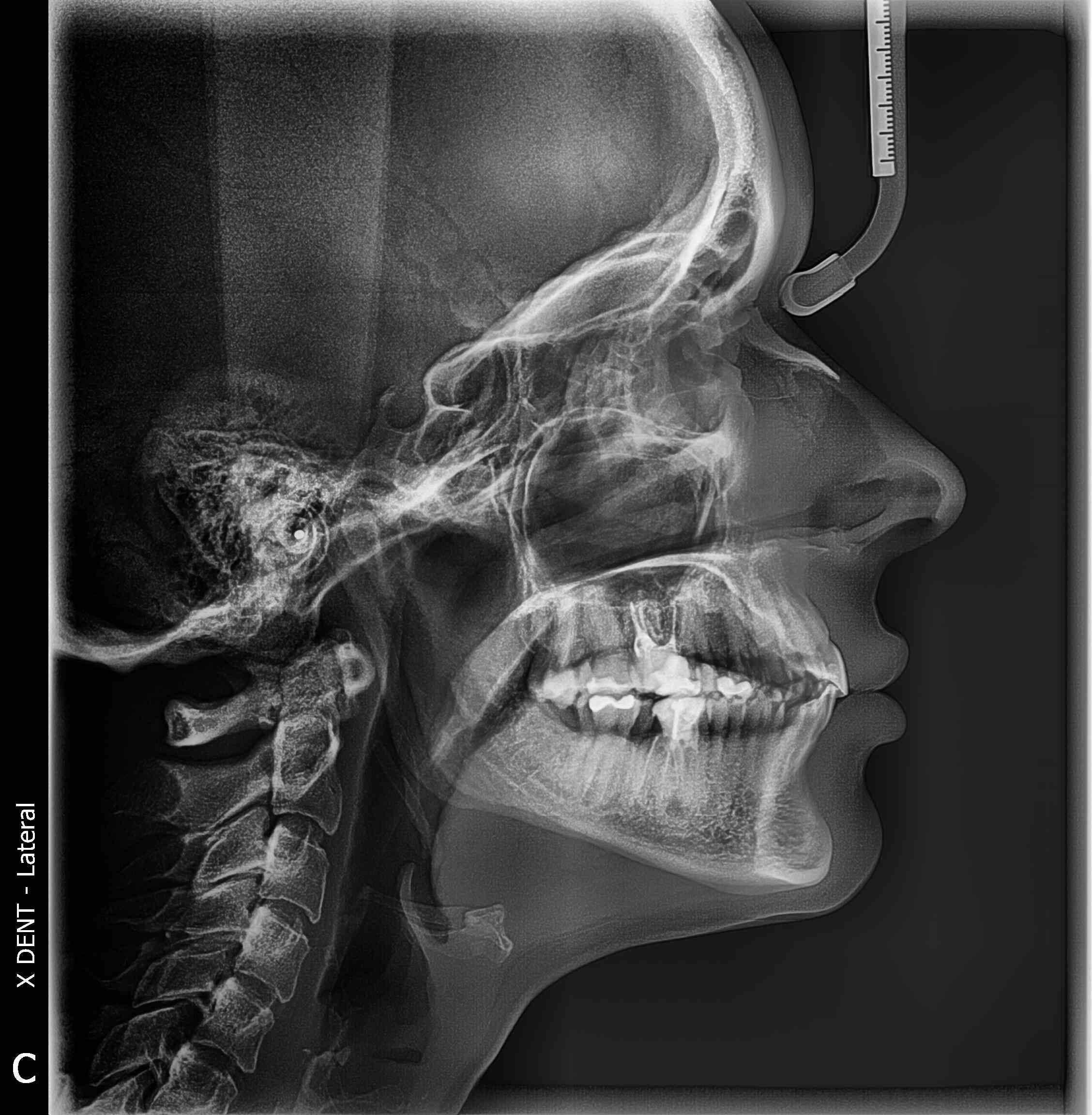
Telerendgen snimak

Primena telerendgenskog snimanja

Telerendgen je ključan dijagnostički alat u sledećim situacijama:

  • – Planiranje ortodontske terapije (proteze, aparatići)
  • – Dijagnostika malokluzija (nepravilnog zagrižaja)
  • – Procenjivanje rasta i razvoja vilica kod dece i adolescenata
  • – Planiranje oralno-hirurških zahvata, uključujući korektivne operacije vilice
  • – Procena položaja i strukture kostiju pre ugradnje implantata
  • – Dijagnostika poremećaja temporomandibularnog zgloba (TMZ)

Koraci

1.

Priprema pacijenta

Pacijent uklanja sve metalne predmete u predelu glave i vrata.

2.

Pozicioniranje

Glava se postavlja u precizno definisan položaj kako bi se obezbedila tačnost snimka.

3.

Snimanje

Kratkotrajno izlaganje rendgenskim zracima omogućava dobijanje detaljne slike.

4.

Analiza snimka

Digitalni snimak je odmah dostupan lekaru radi dijagnoze i planiranja tretmana.

Prednosti telerendgenskog snimanja

  • – Visoka preciznost u proceni položaja vilica i zuba
  • – Minimalna izloženost zračenju zahvaljujući savremenim digitalnim uređajima
  • – Ključan alat za uspešno planiranje ortodontske i hirurške terapije
  • – Brza i bezbolna procedura, pogodna za sve uzraste
  • – Digitalni snimci omogućavaju jednostavno skladištenje i brzu analizu

Za koga je telerendgen preporučen?

  • – Decu i tinejdžere koji započinju ortodontsku terapiju
  • – Odrasle osobe koje planiraju korekciju zuba ili vilice
  • – Pacijente kojima je potrebna ugradnja implantata
  • – Osobe sa problemima u zagrižaju ili poremećajima vilice
  • – Sve koji planiraju oralno-hirurške intervencije

Zakažite svoj termin!

Precizna dijagnostika je prvi korak ka zdravom i pravilno poravnanom osmehu. Naš stručni tim koristi najsavremeniju opremu za brzu i tačnu analizu.