3D rendgen snimanje zuba i vilice, Snimanje zuba Karaburma, Ulica Patrisa Lumumbe 80, Beograd 11000; 

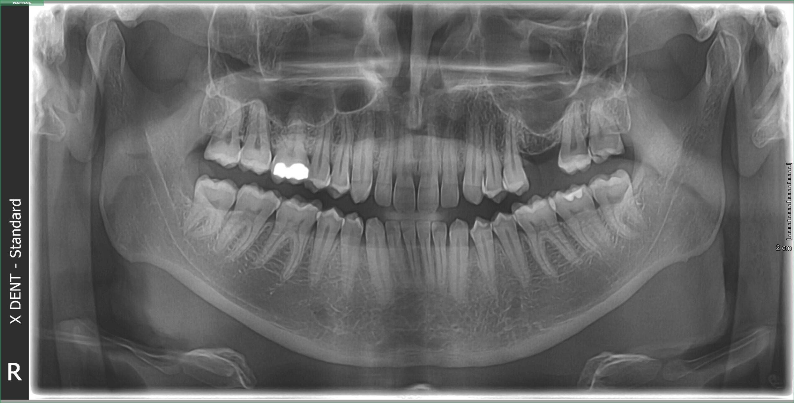
Ortopan snimak

Šta je ortopan snimak?

Ortopan snimak, poznat i kao panoramski rendgen zuba (OPG), predstavlja naprednu dijagnostičku metodu koja omogućava stomatolozima da dobiju celovit uvid u stanje svih zuba, vilica, temporomandibularnog zgloba (TMZ) i okolnih koštanih struktura. Ovaj snimak je neophodan za precizno planiranje stomatoloških tretmana i rano otkrivanje potencijalnih problema.

Ortopan snimak

Kako funkcioniše ortopan snimak?

Ortopan koristi specijalizovani rendgenski aparat koji rotira oko glave pacijenta i snima celokupnu usnu duplju u jednom kadru. Digitalni ortopan snimci su visokog kvaliteta i omogućavaju detaljan pregled zuba i vilica uz minimalnu dozu zračenja. Zahvaljujući modernoj tehnologiji, snimak se dobija u roku od nekoliko sekundi i odmah je dostupan stomatologu za analizu.

Primena ortopan snimka

Ortopan snimak se koristi za:

  • – Dijagnostiku karijesa, infekcija i problema sa korenom zuba
  • – Proveru položaja umnjaka i drugih impaktiranih zuba
  • – Planiranje ortodontske terapije (proteze, aparatići)
  • – Procenu stanja vilice i viličnih zglobova
  • – Otkrivanje cisti, tumora i drugih patoloških promena u vilici
  • – Planiranje ugradnje dentalnih implantata i drugih protetskih radova
  • – Kontrolu opšteg zdravlja zuba i desni

Koraci

1.

Priprema pacijenta

Pacijent uklanja metalne predmete iz regije glave i vrata.

2.

Pozicioniranje

Glava i vilica se postavljaju u precizan položaj za optimalan snimak.

3.

Snimanje

Aparat rotira oko glave i snima celokupnu usnu duplju za nekoliko sekundi.

4.

Analiza snimka

Digitalni snimak je odmah dostupan stomatologu za procenu i planiranje terapije.

Prednosti ortopan snimka

  • – Omogućava celokupnu analizu zuba i vilica u jednom snimku
  • – Brza, bezbolna i neinvazivna procedura
  • – Minimalna izloženost zračenju zahvaljujući digitalnoj tehnologiji
  • – Ključan alat za precizno planiranje stomatoloških i ortodontskih tretmana
  • – Rano otkrivanje problema pre nego što izazovu ozbiljnije komplikacije

Za koga je ortopan snimak preporučen?

  • – Pacijente koji planiraju bilo kakav stomatološki ili ortodontski tretman
  • – Osobe sa čestim bolovima u zubima, vilici ili viličnom zglobu
  • – Osobe koje imaju impaktirane umnjake ili planiraju vađenje zuba
  • – Pacijente koji razmatraju ugradnju dentalnih implantata
  • – Osobe sa sumnjom na ciste, tumore ili druge promene u vilici
  • – Sve koji žele redovnu kontrolu i prevenciju stomatoloških problema

Zakažite svoj termin!

Ne dozvolite da problemi sa zubima ostanu neotkriveni – obavite ortopan snimak i obezbedite preciznu dijagnostiku za zdrav i blistav osmeh.