3D rendgen snimanje zuba i vilice, Snimanje zuba Karaburma, Ulica Patrisa Lumumbe 80, Beograd 11000; 

Dentalni radiogrami

Šta su dentalni radiogrami?

Dentalni radiogrami, poznati i kao zubni rendgenski snimci, predstavljaju naprednu dijagnostičku metodu koja omogućava detaljan uvid u strukturu zuba, vilice i okolnih mekih tkiva. Ova tehnologija omogućava stomatolozima da otkriju probleme koji nisu vidljivi golim okom, poput karijesa ispod plombe, infekcija, cisti i problema sa korenom zuba.

Kako funkcionišu dentalni radiogrami?

Dentalni rendgenski snimci koriste minimalne doze zračenja kako bi generisali visokoprecizne slike unutrašnje strukture zuba. Digitalni radiogrami dodatno smanjuju izloženost zračenju i omogućavaju stomatolozima da brzo dobiju detaljne slike koje pomažu u tačnoj dijagnostici i planiranju tretmana.

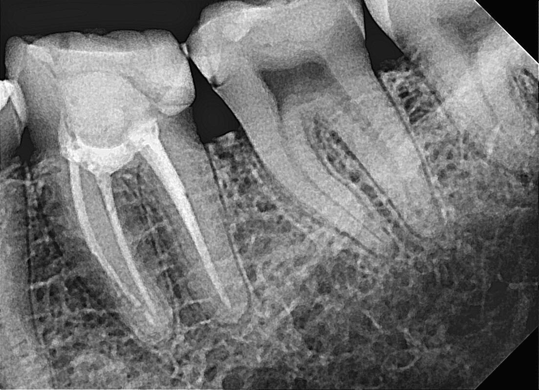
Dentalni radiogram

Primena dentalnih radiograma

Ova metoda snimanja koristi se za:

  • – Dijagnostiku karijesa, infekcija i cisti
  • – Planiranje ortodontskih tretmana i ugradnje implantata
  • – Proveru položaja umnjaka i drugih zuba
  • – Proveru položaja kanala u korenu radi lečenja zuba
  • – Otkrivanje gubitka koštane mase kod parodontalnih oboljenja
  • – Postoperativnu kontrolu nakon hirurških intervencija

Koraci

1.

Priprema pacijenta

Pre snimanja potrebno je ukloniti metalne predmete iz regije glave i vrata.

2.

Pozicioniranje

U zavisnosti od vrste snimka, pacijent se postavlja u odgovarajući položaj.

3.

Snimanje

Procedura traje svega nekoliko sekundi, bezbolna je i neinvazivna.

4.

Analiza snimka

Digitalni snimak je odmah dostupan stomatologu za procenu i planiranje terapije.

Prednosti dentalnih radiograma

  • – Brza i precizna dijagnostika omogućava rano otkrivanje problema
  • – Minimalna izloženost zračenju zahvaljujući savremenim digitalnim uređajima
  • – Bezbolna i neinvazivna procedura pogodna za sve uzraste
  • – Detaljan uvid u stanje zuba i vilice, što pomaže u planiranju optimalnog tretmana

Za koga su dentalni radiogrami preporučeni?

  • – Osobe sa čestim bolovima u zubima i desni
  • – Pacijenti koji planiraju ugradnju zubnih implantata ili ortodontsku terapiju
  • – Osobe sa sumnjom na parodontalna oboljenja ili infekcije
  • – Deca i odrasli kod kojih je potrebno pratiti razvoj i rast zuba

Zakažite svoj termin!

Ne čekajte da se problem pogorša – obavite preventivni pregled na vreme i sačuvajte zdravlje svog osmeha. Naš tim stručnjaka koristi najsavremeniju opremu za preciznu dijagnostiku i pravovremeno lečenje.