3D rendgen snimanje zuba i vilice, Snimanje zuba Karaburma, Ulica Patrisa Lumumbe 80, Beograd 11000; 

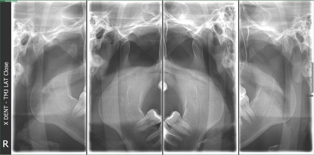
Snimanje temporomandibularnih zglobova

TM zglobova

Šta su TM zglobovi?

Temporomandibularni zglobovi (TM zglobovi) su zglobovi koji povezuju vašu donju vilicu (mandibulu) sa slepoočnim kostima lobanje, s obe strane lica, neposredno ispred ušiju. Ovi zglobovi omogućavaju pokrete kao što su otvaranje i zatvaranje usta, žvakanje, govor i pokreti vilice u svim pravcima. Zbog svoje kompleksne strukture i česte izloženosti opterećenju, TM zglobovi su skloni različitim disfunkcijama i bolnim stanjima.

Kako funkcionišu TM zglobovi?

TM zglob funkcioniše kao kombinacija šarke i kliznog zgloba. Između kostiju se nalazi disk koji amortizuje pokrete i omogućava nesmetano pomeranje vilice. Kada dođe do poremećaja u radu ovog zgloba – bilo zbog pomeranja diska, zapaljenja, traume ili mišićne disbalanse – mogu se javiti simptomi kao što su bol, ukočenost, škripanje, klikovi u zglobu, glavobolje ili otežano otvaranje usta.

Tm zglob

Zašto se radi snimak TM zglobova?

Snimanje TM zglobova predstavlja ključni dijagnostički korak za utvrđivanje stanja i eventualnih poremećaja temporomandibularnih zglobova. Snimak omogućava stomatologu ili maksilofacijalnom hirurgu da precizno sagleda anatomiju zgloba, identifikuje upalne procese, degenerativne promene, dislokaciju diska i druge abnormalnosti.

Kada je potrebno snimanje TM zglobova?

Snimak TM zglobova preporučuje se osobama koje imaju:

  • – Bol ili nelagodnost u području vilice ili ispred ušiju
  • – Pucanje, škripanje ili „kliktanje“ prilikom otvaranja usta
  • – Glavobolje ili bolove u ušima bez jasnog uzroka
  • – Ograničeno otvaranje ili zatvaranje usta
  • – Poremećaje u zagrižaju (malokluzija)
  • – Sumnju na artritis ili druge reumatske bolesti koje zahvataju zglobove

Koraci

1.

Pripremu pacijenta – bez metalnih predmeta u predelu glave i vrata

2.

Snimanje u zatvorenom i otvorenom položaju vilice – kako bi se uporedili pokreti zgloba

3.

Analizu snimka – specijalista procenjuje stanje kostiju, diska i eventualne promene

Prednosti snimanja TM zglobova

  • – Precizna dijagnoza uzroka bolova i disfunkcije
  • – Otkrivanje degenerativnih i inflamatornih promena
  • – Pomaže u planiranju terapije i praćenju napretka
  • – Bezbedna i brza dijagnostička metoda
  • – Digitalni snimak omogućava bolju rezoluciju i manju dozu zračenja

Za koga je snimanje TM zglobova?

Ova usluga je idealna za sve pacijente koji osećaju:

  • – Bolove u vilici, glavi ili ušima
  • – Tegobe pri žvakanju ili govorom
  • – Promene u pokretima vilice
  • – Sumnju na TM disfunkciju ili već dijagnostikovano stanje

 

Takođe, snimanje TM zglobova preporučuje se pacijentima pre ortodontske terapije, hirurških zahvata, kao i osobama sa reumatskim bolestima.

Zakažite svoj termin!

Ne ignorišite bol u vilici – što ranije identifikujete problem, lakše ćete ga rešiti! Naš tim stručnjaka koristi najsavremeniju dijagnostičku opremu kako bi precizno otkrio uzrok vaših simptoma i predložio najbolji tretman.