3D rendgen snimanje zuba i vilice, Snimanje zuba Karaburma, Ulica Patrisa Lumumbe 80, Beograd 11000; 

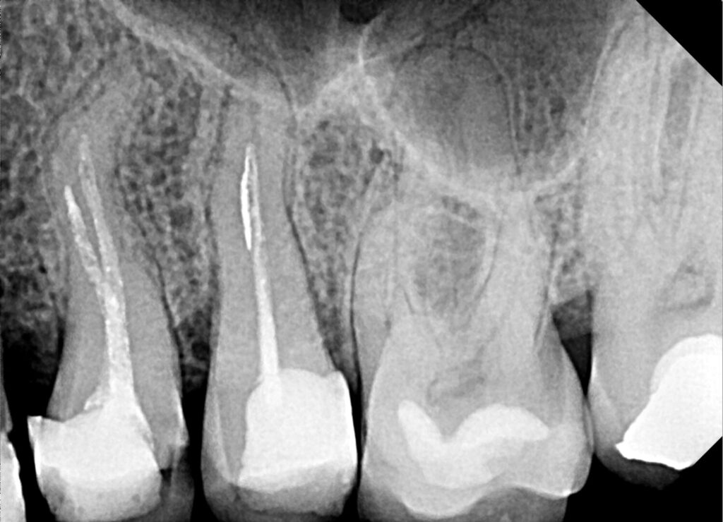
Uveličani radiogram

Precizna dijagnostika za zdrav osmeh

Šta je uveličani radiogram?

Uveličani radiogram predstavlja napredni oblik rendgenskog snimanja zuba i vilica, koji pruža detaljan i jasan prikaz struktura uvećanih više puta. Za razliku od standardnih rendgenskih snimaka, uveličani radiogram omogućava stomatologu da uoči i najsitnije promene u tkivu, korenu zuba ili vilici, što doprinosi preciznijoj dijagnozi i boljem planiranju terapije.

Kako funkcioniše?

Uveličani radiogram se snima pomoću specijalizovane digitalne rendgenske opreme koja koristi nisku dozu zračenja i pruža visoku rezoluciju snimka. Snimak se odmah prikazuje na ekranu računara i može se uvećavati po potrebi, bez gubitka kvaliteta slike. Time se omogućava detaljna analiza svakog segmenta zubnog i viličnog sistema.

Uvelicani radiogram

Primena uveličanog radiograma

Ova dijagnostička metoda se koristi u različitim granama stomatologije:

  • – Endodoncija – precizno lociranje problema u korenu zuba
  • – Oralna hirurgija – planiranje hirurških intervencija
  • – Implantologija – analiza gustine i položaja kosti pre ugradnje implantata
  • – Parodontologija – otkrivanje promena u desnima i kostima
  • – Ortodoncija – procena položaja zuba i vilica kod planiranja proteza i aparatića

Koraci

1.

Konsultacija sa stomatologom – Kratak razgovor i pregled kako bi se utvrdila potreba za snimanjem.

2.

Pozicioniranje pacijenta – Postavljanje u odgovarajući položaj ispred aparata.

3.

Snimanje – Traje svega nekoliko sekundi, potpuno je bezbolno.

4.

Analiza snimka – Stomatolog odmah pregleda uveličani prikaz i daje preporuke za dalje korake.

Prednosti uveličanog radiograma

  • – Veća preciznost i bolja vidljivost detalja
  • – Brza i bezbolna procedura
  • – Minimalna izloženost zračenju
  • – Digitalni zapis koji se može čuvati i lako deliti
  • – Pomaže u ranom otkrivanju problema koji nisu vidljivi golim okom

Za koga je namenjen?

Uveličani radiogram je idealan za sve pacijente kojima je potrebna detaljna dijagnostika, posebno:

  • – Osobe sa hroničnim zuboboljama ili upalama
  • – Pacijente koji planiraju implantate ili proteze
  • – Decu i odrasle kod ortodontskih zahvata
  • – Osobe koje su već imale komplikacije ili intervencije

Zakažite svoj termin!

Ne čekajte da bol postane nepodnošljiva – precizna dijagnostika je prvi korak ka zdravom osmehu! Kontaktirajte nas danas i zakažite svoj pregled sa uveličanim radiogramom.